BASEBALL!

The squeeze play is seen in baseball. It's used when a batter bunts the ball in an attempt to bring his teammate on third base home to score a run. It is an exciting play, as the team initiating it is often looking for a tying or winning run late in a close game.
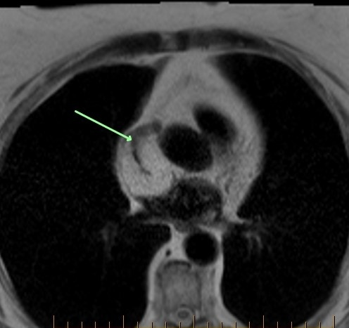
Where is the squeeze play here on axial T1 cardiac MRI?
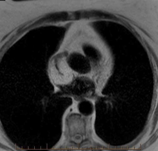
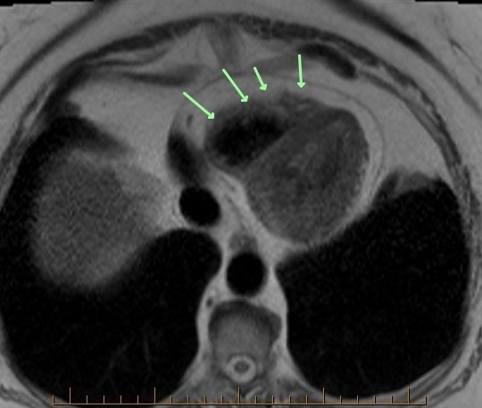
The squeeze play here is a fatty tumor compressing the superior vena cava. The vena cava is normally round. Here, it appears squeezed or slit-like (second image, arrow). This could lead to superior vena cava syndrome. Surveillance recommended every 6 months. The third MR image shows signs of right ventricular dysplasia. The anterior right ventricle is lobulated, irregular and exhibits sparse fat signal.
For more case review resources, head to MRI Online.
[gravityform id="4" title="true" description="true"]







