The three axial oblique images in this 43-year-old with hip pain demonstrate an abnormality. What are the associated potential imaging findings that might accompany this abnormality?
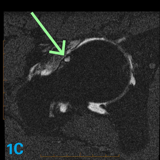
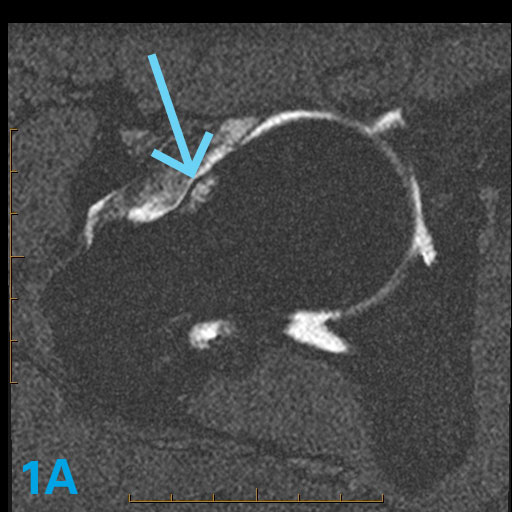
The lack of tapering of the femur head to the neck is known as asphericity. This lack of tapering is associated with a bump in the anterior aspect of the femoral head neck junction. The bump is also associated with a friction-related pseudocyst ("herniation pit") that occurs when the hip is in flexion and especially in flexion-internal rotation as this area rubs across the acetabulum. Sometimes the friction produces edema but not an actual cyst.
- In such a patient, the alpha angle (if measured) would be elevated.
- An abrasion, ulcer or erosion would often be seen in the far anterior superior acetabulum as this bump rides against and abrades or erodes the cartilage of the acetabular roof.
- Some patients with this abnormality may have a shallow acetabular cup.
- Labral tears and detachments are frequent.
- Capsular rents or tears may occur.
Clinically, such patients often experience pain in hip flexion worse in internal more than external rotation. This case illustrates an axial oblique head neck junction shape of Cam or Type 1 hip impingement syndrome. For more case review, check out MRI Online.
[gravityform id="4" title="true" description="true"]







