Name all the signs you can see on these sagittal T2 images from each breast. Next, name all the signs you can think of that signify MRI evidence of intracapsular implant rupture. Then be sure to scroll below the images to check your findings against mine.
Right breast (left) is collapsed; loop or lariat sign (two arrows); fall away sign (four arrows) when implant falls away from biological fibrous shell.
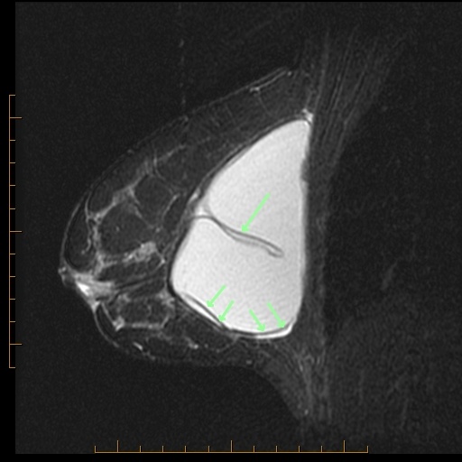
Left breast (on right) is normal with physiologic radial folds (arrow).
Other signs include: Linguine sign (the classic intracapsular rupture sign), and the bubble-mixing sign, both not present in this case. All represent intracapsular implant rupture.






